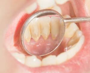
건강하고 아름다운 치아는 모두가 동경하는 것입니다만, 꼼꼼하게 치아를 닦고 있어도 치석이 쌓이는 것은 좀처럼 피할 수 없습니다. 치석을 방치하고 있으면 충치나 치주병과 같은 트러블로 이어지기 때문에, 치과에서의 정기적인 치석 제거(스케일링)가 중요합니다.

이번에는 치석 제거 효과와 장점 · 단점에 대해 자세히 알려 드리므로 꼭 참고해보십시오.
치석이란?
치석이란, 플라그가 석회화된 것입니다. 타액에 포함된 인산과 칼슘이 플라크에 작용하여 돌처럼 딱딱하게 변화시킵니다. 그 때문에, 연마가 많은 사람이나 구강 케어가 불충분한 사람은 요주의입니다.
치석은 세균의 온상이 되는 물질로, 치아 치균이나 치주병균을 증식시킬 뿐만 아니라, 구취의 발생에도 연결됩니다.
치석제거 장점
치과에서 치석제거를 받으면 다음과 같은 이점을 얻을 수 있습니다.
1. 치아와 치주 질환의 위험이 감소합니다.
치석을 제거하면 치아나 치주병균이 번식·활동하는 장소를 빼앗을 수 있습니다. 그 결과, 치아와 치주 질환의 위험도 감소합니다.
2. 구취 개선으로 이어진다.
치석을 방치하면 다음 세 가지 이유로 구취가 발생합니다.
- 치주병균이 가스를 생산한다
- 잇몸의 염증으로 고름이 쌓이는
이 중에서도 특히 치주병균이 생산하는 "메틸메르캅탄"에는 요주의입니다. 썩은 양파와 같은 냄새를 발생시키기 때문에 구취의 원인이되기 쉽습니다. 치석을 제거하면 이러한 위험을 줄일 수 있습니다.
3. 치주병의 증상이 개선됨
이미 치주병에 걸린 사람은 치석 제거를 통해 증상을 개선할 수 있습니다. 사실, 치주 질환 치료에는 스케일링 루트 플레이닝이라는 치석 제거가 포함되어 있습니다.
치석제거 단점
원래 치석은 질병을 일으키는 물질이기 때문에 제거에 단점이 없습니다. 본래 있어야 하는 것이 아니기 때문에, 제거하기에 넘어선 적은 없습니다. 그러나 치석 제거 후에는 일시적인 지각 과민이 발생할 수 있습니다.
잠시 동안 극단적으로 차가운 물건이나 뜨거운 물건을 입에 넣지 마십시오. 지각 과민의 증상은 시간이 지남에 따라 치료됩니다.
또한 치석 제거와 함께 잇몸이 손상될 수 있습니다. 치석 제거에서는, 스케일러라고 불리는 날카로운 기구를 사용하는 것으로부터, 잇몸의 상태에 따라서는, 데미지를 입을 수밖에 없는 경우도 있습니다.
이러한 위험은 섬세한 치료를 염두에두면 최소화됩니다.
치석제거 종류에 대해서
치과에서 치석제거는 다음 세 가지 방법으로 수행됩니다.
- 스케일링
- 루트 플래닝
- 플랩 수술
스케일링은 치아의 머리 부분인 치관부의 치석을 제거하는 방법입니다. 가장 일반적인 치석 제거법이라고 할 수 있습니다.
루트 플래닝은 치근 표면에 형성된 치석을 제거하는 방법입니다. 치주 포켓의 깊이까지 스케일러를 삽입하기 때문에 딥 스케일링이라고도 합니다.
세 번째 플랩 수술은 치주 외과 치료의 일종입니다. 루트 플래닝에서는 대응할 수 없을 만큼 깊은 치주 포켓이 형성된 케이스에 적응됩니다.
잇몸을 절개하여 치근면을 노출시킨 후 치석을 제거합니다. 치석 제거가 완료되면 잇몸을 봉합하여 종료합니다.
정리
따라서 치석제거에는 많은 이점이 있으므로 정기적으로 받는 것이 좋습니다. 시술 후의 지각 과민이나 출혈 등이 무섭다고 하는 분은, 부담없이 가까운 동네 치과에 방문하셔서 상담해보세요.
치과에서의 정기 검진(스케일링 권장 기간)은, 6개월에 1번씩 1년에 2회 정도를 권장합니다.
치석 제거 비용 : 치석 축적 예방하는 6가지 팁
치석이 쌓이는 것을 방지하기 위해 칫솔질, 치실 사용, 방부제 구강 세정제로 헹구는 것이 중요하다는 것을 알고 계실 것입니다. 치석이란? 집에서 치아를 잘 관리해도 입안에는 여전히 박테리
today.housecontents.co.kr
※ 면책 조항 : 이 포스팅에 언급된 팁과 제안은 일반적인 정보 제공만을 목적으로 하며, 전문적인 의학적 조언으로 해석되어서는 안 됩니다. 의학적 문제에 대해 특정 질문이 있는 경우, 항상 의사나 전문 의료 서비스 제공자와 상담하십시오.
'건강정보' 카테고리의 다른 글
| 피부장벽강화 : 중요성, 방법, 성분, 결과 (0) | 2023.10.26 |
|---|---|
| 뼈잘붙는음식 8가지 추천 : 빠르게 골절 치료하는데 도움 (0) | 2023.10.12 |
| 비타민선물세트 추천 3선 : 비타민 선물이 좋은 이유 (0) | 2023.09.27 |
| 머리 비듬 없애는법 : 원인, 증상, 자연적으로 제거하는 방법 (0) | 2023.09.20 |
| 스테비아커피장점 : 부작용, 스테비아 커피믹스 추천 (0) | 2023.08.30 |
댓글