양치질을 했음에도 입안이 찝찝하게 느껴진다면 치석이 꽤나 쌓였을 수 있습니다. 이번 포스팅에서는 치석에 대해 이야기 합니다. 치석이 무엇인지 알아 보려면 계속 읽으십시오.

치석이란?
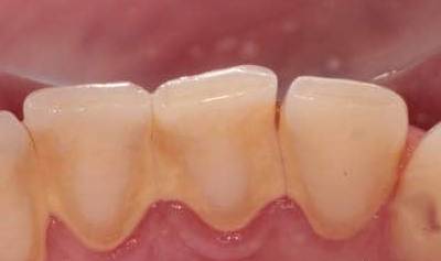
치석은 치아에 광물화된 플라그의 단단한 층입니다. 치석 은 플라그 (박테리아, 음식물 찌꺼기)과 미네랄의 조합입니다. 치아를 형성하는 부드럽고 희끄무레한 층인 플라그에서 발생합니다. 플라그 층이 너무 오래 방치되면 경화되어 치아에 달라붙게 됩니다.
타액은 자연적으로 나트륨, 칼슘 및 인산염을 포함한 전해질을 함유하고 있기 때문에 이에 대한 부분적인 책임이 있습니다.
타액의 이러한 이온은 플라크의 이온과 반응합니다. 이 과정을 석회화 또는 광물화라고 합니다. 가장 큰 광물은 치석으로 인산칼슘(여러 다른 형태로 발견될 수 있음)입니다. 또 다른 기여 요인은 박테리아 자체입니다. 칼슘 이온은 박테리아와 결합하여 박테리아가 죽고 스스로 석회화됩니다.
이들은 먼저 국부적인 반점(증착 단계)에서 발생합니다.
시간이 지남에 따라 이 작은 치석 조각이 자라서 더 넓은 영역을 덮습니다. 이것이 형성되기까지 약 2주가 소요 됩니다. 그리고 그것이 제거되면 매우 저항력이 있습니다.
치과 의사나 위생사가 전문적인 청소(스케일링)를 해야만 이 축적물을 제거할 수 있습니다.
치과에 가지 않고 치석을 제거할 수 있습니까?
치과에 가지 않고는 치석을 제거할 수 없습니다. 치아 표면에 대한 치석 결합은 매우 강력합니다. 칫솔질이나 치간 청소로는 제거할 수 없습니다.
치석이 치아에 형성되면 치석층 내부가 부서져 작은 치석이 떨어져 나갈 수 있습니다. 그러나 치아 층에 대한 결합은 훨씬 더 강력합니다. 이 유대는 전문 기술을 사용하지 않고는 끊을 수 없습니다.
연구에 따르면 미적분학의 결정이 에나멜 결정과 상호 연결되어 있음이 밝혀졌습니다. 어떤 경우에는 두 가지가 합쳐질 수도 있습니다. 이러한 강한 힘은 치석과 치아 사이의 결합을 깨뜨리기 위해 필요하기 때문에 직접 시도하면 치아 구조를 손상시킬 위험이 있습니다.
그래서 집에서 DIY 스크레이퍼를 사용하지 않는 것이 좋습니다. 이러한 광고를 본 적이 있을 것입니다. 불행히도 이것들은 대부분 치석을 제거하는 데 효과가 없습니다.
초음파 세척 장치를 검토한 결과 다음과 같은 잠재적인 문제에 대해 알고 있어야 합니다.
- 잇몸을 손상시킬 수 있습니다.
- 법랑질 표면을 긁을 수 있습니다.
- 기존 치과 작업을 손상시킬 수 있습니다. 여기에는 흰색 복합 충전재 및 금속 충전재가 포함됩니다. 그들은 또한 크라운과 베니어판을 긁을 수도 있습니다. 이러한 표면을 긁으면 얼룩이 생기고 플라크가 쌓이기 쉽습니다.
- 상점에서 구입하여 집에서 사용하는 이러한 기구는 멸균되지 않습니다. 또한 집에서 효과적으로 청소할 수 없습니다.
치과용 송곳으로 치석을 제거할 수 있습니까?
치과 선택은 몇 가지 다른 것을 나타낼 수 있습니다.
- 나무 이쑤시개. 이것들은 치석을 제거하지 않습니다. 일반적으로 말해서, 나무 이쑤시개는 피해야 합니다.
- 일반적으로 플라스틱으로 만들어진 이쑤시게가 내장된 치실 홀더. 이것들은 치아 표면에서 치석을 제거할 만큼 충분히 강하지 않습니다.
- 수동 금속 치아 스크레이퍼. 이들은 치과 전문가가 사용하는 도구와 유사할 수 있으며 날카로운 곡선 모서리를 가지고 있습니다. 이것들은 물리적으로 치석을 제거할 수 있지만 피하는 것이 좋습니다. 잘못 사용하면 잇몸과 치아 표면이 손상될 수 있기 때문입니다.
치석을 제거하는 것이 왜 중요한가요?
치석은 종종 집에서 청소할 때 부족한 부분을 치과의사에게 알려줍니다. 그리고 치석 자체는 실제로 입안에 몇 가지 문제를 일으킵니다. 잇몸 질환, 청소 곤란, 치아 착색과 관련 이 있습니다. 치석은 치아 표면보다 거칠고 끈적끈적합니다. 치아보다 치석에 더 많은 박테리아가 붙을 가능성이 높습니다.
이렇게 하면 양치질과 치간 청소 후에도 잇몸 주위에 남아 있는 박테리아의 양이 증가합니다. 박테리아는 잇몸 질환의 형성에 기여합니다.
이 치석의 표면은 법랑질에 비해 거칩니다. 이것은 치아 표면에 비해 효과적으로 세척하기가 더 어렵기 때문에 모든 플라그가 매번 제거되는 것은 아닙니다. 치석은 주변을 청소해야 하는 선반을 만들 수 있습니다. 축적은 또한 공간을 막을 수 있어 특히 치간 청소를 더 어렵게 만듭니다.
치석은 치아보다 더 빨리 얼룩을 제거합니다. 차나 커피를 많이 마시거나 담배를 피우는 경우 특히 그렇습니다. 치아 가장자리 주위에 검은 얼룩이 쌓이면 전문가의 청소를 고려하십시오. 스케일링 및 폴리싱 또는 에어 폴리싱으로 얼룩을 제거할 수 있습니다.
집에서 구강 위생을 개선하여 향후 치석 형성을 예방하십시오.
치석 축적을 예방하는 방법
치석 형성을 예방하는 가장 중요한 요소는 플라그를 제거하는 것입니다. 정기적으로 치아의 플라그를 제거하면 치석으로의 광물화 과정을 방지할 수 있습니다. 칫솔질 과 치간 세척을 통한 물리적 제거는 플라그 생물막 층을 파괴하는 데 중요합니다. 매일 3회 3분 동안 양치질을 하십시오. 치간 칫솔과 같은 치간 세척 방법을 하루에 한 번 사용하십시오.
치약 은 또한 치석 형성을 예방하는 데 중요한 역할을 합니다. 플라그를 제거하는 데 도움이 되는 연마제가 있습니다.
치약에는 치석 형성을 방지하는 성분 이 첨가 될 수도 있습니다. 여기에는 다음이 포함됩니다.
- 피로 인산은 플라크의 칼슘과 결합하여 광물화 과정을 방지합니다. 결정 성장 억제제입니다.
- 헥사메타인산나트륨(SHMP)은 플라크의 여러 칼슘 이온과 결합하지만 표면층에서만 작용합니다.
- 아연염(예: 시트르산아연, 염화아연, 젖산아연)은 치석 형성을 방지하기 위해 플라크의 칼슘을 대체합니다. 결정 성장 억제제입니다. Segreto et al. 는 0.5%의 구연산 아연이 함유된 치약을 연구한 결과 일반 치약에 비해 3개월 후 치석이 13.7% 감소한 것으로 나타났습니다.
- 트리클로산은 치석 형성에 효과가 입증된 항균제입니다. 현재 시판되는 치약에는 트리클로산이 포함되어 있지 않습니다.
정리
치석은 단단하고 석회화된 물질입니다. 플라그가 효과적으로 제거되지 않을 때 발생합니다. 집에서 안전하게 치석을 제거할 수는 없습니다. 치과 전문가는 스케일링 도구를 사용하여 잇몸이나 치아 표면을 손상시키지 않고 제거할 수 있습니다.
집에서 올바른 구강 위생 습관을 들이면 치석이 쌓이는 것을 예방할 수 있습니다. 매일 플라그를 효과적으로 제거하고 있는지 확인하십시오. 전문 치석 방지 치약에는 치석 형성을 늦출 수 있는 성분이 있습니다.
1년에 2회 정도 치과 정기검진을 받으시길 권장합니다. 요즘 치아 스케일링비용도 많이 저렴해졌으니 부담갖지 마시고 치과에서 치석제거 하시기 바랍니다.
치과 검진으로 구강 건강 챙기기(ft.구강검진)
충치, 잇몸 질환, 구취 및 기타 구강 문제는 박테리아를 운반하는 플라크와 치석의 축적으로 인해 발생합니다. 정기적인 양치질과 치실만으로는 닿기 어려운 부위에 숨어 있는 플라그를 모두 제
today.housecontents.co.kr
※ 면책 조항 : 이 포스팅에 언급된 팁과 제안은 일반적인 정보 제공만을 목적으로 하며, 전문적인 의학적 조언으로 해석되어서는 안 됩니다. 의학적 문제에 대해 특정 질문이 있는 경우, 항상 의사나 전문 의료 서비스 제공자와 상담하십시오.
'건강정보' 카테고리의 다른 글
| 위산 역류 치료 방법 7가지 : 의사를 만나야 할 때 (0) | 2022.11.15 |
|---|---|
| 남자 갱년기 짜증 증상 : 셀프 체크 자가 진단 (0) | 2022.11.14 |
| 비타민 C의 효능과 보충제 선택 방법 (0) | 2022.11.02 |
| 페퍼민트 오일 효능 효과 및 추천 사용법 (0) | 2022.10.29 |
| 비타민D가 많은 음식 : 하루 섭취 기준 및 작용 (0) | 2022.10.26 |
댓글